🎉 Biohub Bets on Cells, AI Finds Cancer Early, Google Enters Pentagon AI, Vintage Model Tests Reasoning, OpenAI Frees Its Cloud
AI is moving deeper into high-stakes domains: from biology and medicine to defense, model research, and cloud infrastructure — as major labs and institutions test how far the technology can scale.
Welcome to this week’s edition of AImpulse, a five point summary of the most significant advancements in the world of Artificial Intelligence.
Here’s the pulse on this week’s top stories:
Biohub launches $500M AI biology push
What’s happening:
Biohub, the nonprofit backed by Mark Zuckerberg and Priscilla Chan’s CZI, announced a $500M Virtual Biology Initiative to build open datasets and models that can predict how human cells behave. The effort is aimed at pushing AI beyond biology analysis and toward true biology simulation.
Details:
$400M will fund data generation and imaging technology, while $100M will support external research labs and research efforts.
Nvidia, Allen Institute, Arc, and other partners are joining the initiative.
Biohub says current AI biology datasets top out around 1B cells, but Alex Rives says an “order of magnitude” more data is needed.
The goal is to train models that help understand disease and reprogram biology at the level of cells, molecules, and tissues.
Why it matters:
Google DeepMind’s Demis Hassabis has argued that AI could eventually help end disease, and Biohub is now putting serious capital behind a similar thesis. The real test is whether the scaling laws that transformed language and protein structure also apply to cellular biology, and whether $500M is enough to generate the data needed to find out.
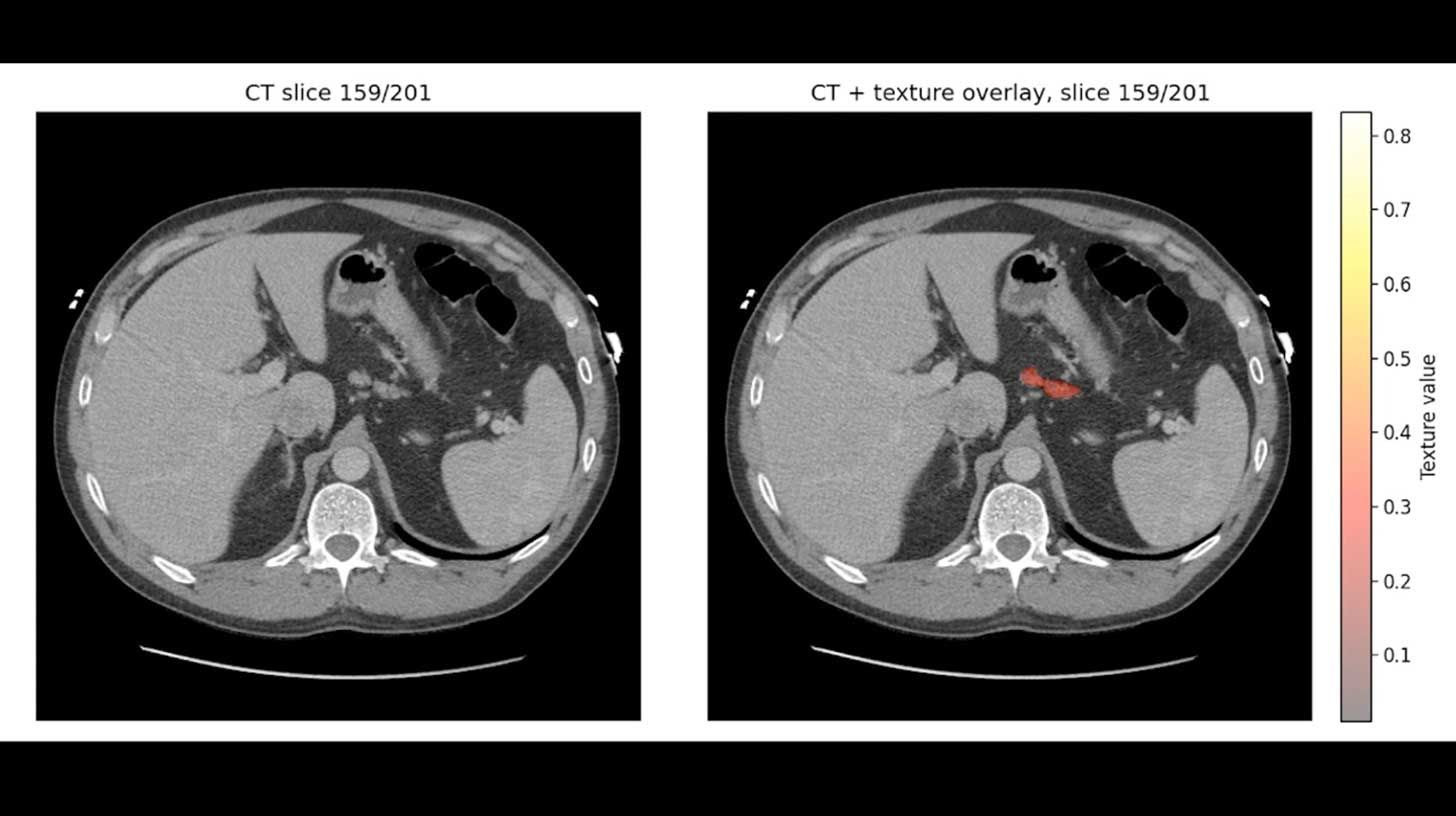
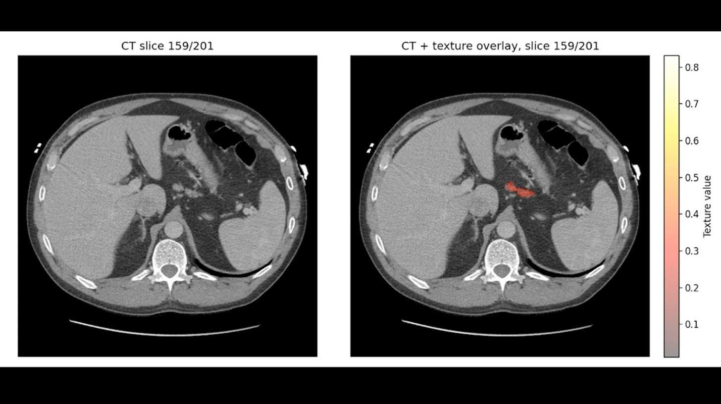
Mayo Clinic AI spots pancreatic cancer years early
What’s happening:
Mayo Clinic published new data on REDMOD, an AI system that detects invisible tissue patterns in standard CT scans. The model identified signs of pancreatic cancer up to three years before typical diagnosis and nearly doubled specialist accuracy.
Details:
REDMOD reviewed nearly 2,000 routine CT scans that specialists had originally read as normal before patients were later diagnosed.
The AI detected 73% of pancreatic cancer cases early.
Two years before diagnosis, REDMOD spotted roughly 3x as many early cancers as experienced radiologists.
The model analyzes hundreds of quantitative imaging, texture, and structural features that are usually invisible to human readers.
Why it matters:
Pancreatic cancer has a five-year survival rate below 15%, making earlier detection one of the most important levers for improving outcomes. Because REDMOD works on scans patients already receive, AI-based screening could become part of routine care instead of adding another diagnostic step.
Google signs classified Pentagon AI deal
What’s happening:
Google signed a classified AI deal with the Pentagon that opens its models to “any lawful government purpose.” The agreement comes in the same week that 600+ Google employees urged CEO Sundar Pichai to reject military uses of AI.
Details:
More than 600 employees sent Pichai a letter asking Google to “refuse to make our AI systems available for classified workloads.”
The Information reported that the contract gives Google no legal veto over how the Pentagon uses its AI.
OpenAI and xAI signed Pentagon deals last month, while Anthropic is fighting in court after being blacklisted for refusing to drop certain guardrails.
Google removed its no-weapons pledge from its AI principles in 2025, after adding it in 2018 following employee protests.
Why it matters:
The Pentagon-AI debate already became a flashpoint in the OpenAI-versus-Anthropic rivalry, and Google is now entering the same territory. The move could create a major internal and reputational test for Gemini, especially if employee backlash starts to mirror the scrutiny around ChatGPT’s government work.
Researchers build a “vintage” AI model trained before 1931
What’s happening:
Researchers Nick Levine, David Duvenaud, and Alec Radford demoed Talkie, a 13B-parameter AI model trained only on text from before 1931. The project tests how an AI system reasons when its entire worldview predates the internet.
Details:
Talkie was trained on 260B tokens from pre-1931 books, newspapers, journals, patents, and case law in the U.S. public domain.
To teach it conversational behavior without modern instruction data, the team used material from etiquette manuals and cookbooks.
Claude Sonnet 4.6 graded the model’s answers during training.
Even though Python did not exist in 1930, Talkie wrote working code by modifying an example, showing it could generalize beyond its source data.
Why it matters:
Today’s frontier models often feel similar because they train on overlapping modern web data. Talkie offers a cleaner experiment in whether models can reason beyond their training distribution, and the Python example suggests there may be more abstraction happening under the hood than simple memorization.
OpenAI and Microsoft reset their partnership
What’s happening:
OpenAI and Microsoft reworked their partnership, ending Microsoft’s exclusivity over OpenAI’s IP and removing the AGI clause from their agreement. OpenAI can now launch products on any cloud while Microsoft keeps a revenue share through 2030.
Details:
OpenAI can use rival cloud platforms like Amazon Bedrock, while Microsoft remains a main cloud partner with Azure-first launch access through 2032.
The new terms settle Microsoft’s reported lawsuit threat over OpenAI’s $50B Amazon deal.
Amazon CEO Andy Jassy called the announcement “very interesting,” following OpenAI CRO Denise Dresser’s memo praising Bedrock.
Microsoft will stop paying revenue share to OpenAI, and both companies’ obligations now run on calendar dates rather than an AGI milestone.
Why it matters:
The revised deal removes the exclusivity that OpenAI leadership said limited its ability to meet enterprise customers where they already operate. OpenAI now gets more cloud flexibility, while Microsoft secures a long-term revenue stream without an ambiguous AGI trigger hanging over the relationship.





